Tarrytown Dental

512-477-5100

Home

About

Photos

Q&A

Forms

Location

Technology

Office Tour

Pay Online

Contact Us

 

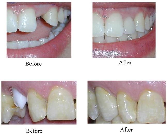
Success Images - Before & After

A picture shows more than we can claim. Take a look at some of our recent work.
Here are just a few patients who -
'Smile with Confidence'.
        
Dentistry in after photos by: David Brinkley , DDS, MS (Actual results may vary)

 


Composite Resin Bonding (White Filling)
Full Mouth Makeover
Veneers
Porcelain Crowns
Dental Implants